B с дельта вирусом
-
ТяниТолкай
- Бывалый
- Сообщения: 1107
- Зарегистрирован: 17 апр 2015 13:54
- Пол: ♀
- Гепатит: В+D
- Фиброз: F3
- Генотип: не определял(а)
- Город: крым
- Благодарил (а): 5 раз
- Поблагодарили: 114 раз
Re: B с дельта вирусом
http://hivlife.info/threads/7350-%D0%AD%D1%84%D1%84%D0%B5%D0%BA%D1%82%D0%B8%D0%B2%D0%BD%D0%BE%D1%81%D1%82%D1%8C-%D0%B4%D0%BB%D0%B8%D1%82%D0%B5%D0%BB%D1%8C%D0%BD%D0%BE%D0%B9-%D1%82%D0%B5%D1%80%D0%B0%D0%BF%D0%B8%D0%B8-%D1%82%D0%B5%D0%BD%D0%BE%D1%84%D0%BE%D0%B2%D0%B8%D1%80%D0%BE%D0%BC-%D0%B3%D0%B5%D0%BF%D0%B0%D1%82%D0%B8%D1%82%D0%B0-D-%D1%83-%D0%92%D0%98%D0%A7-%D0%B8%D0%BD%D1%84%D0%B8%D1%86%D0%B8%D1%80%D0%BE%D0%B2%D0%B0%D0%BD%D0%BD%D1%8B%D1%85?p=461133#post461133
на форуме это неоднократно обсуждалось. В разделе с материалами по дельте тоже есть это обсуждение.
на форуме это неоднократно обсуждалось. В разделе с материалами по дельте тоже есть это обсуждение.
Лечится любимый. Перед ПВТ: F4. В-Д+,HBsAg 4762 Ме/Мл.
Пегасис 48 недель. Итог: Б-, Д-. AntiHBs - положительно.
Через полгода серореверсия HBsAg.
19.08.2016 - старт ПВТ #2 Пегасис.
Успешная терапия Б+Д
Пегасис 48 недель. Итог: Б-, Д-. AntiHBs - положительно.
Через полгода серореверсия HBsAg.
19.08.2016 - старт ПВТ #2 Пегасис.
Успешная терапия Б+Д
- рысь
- Лягушка-путешественница
- Сообщения: 6315
- Зарегистрирован: 24 июл 2011 08:03
- Пол: ♀
- Гепатит: В+D
- Фиброз: F4
- Генотип: не определял(а)
- Город: дальний восток
- Благодарил (а): 1234 раза
- Поблагодарили: 444 раза
Re: B с дельта вирусом
Yugo69
спасибо.
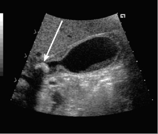
В свежем узи есть большие буквы,как их понять и что изменилось с желчным?
спасибо.
В свежем узи есть большие буквы,как их понять и что изменилось с желчным?
геп В+Д,цирроз класса А,-бараклюд с1июня2012 по 7ноября2014.терапия прервана.
1апреля2023 анти HbsAg.подтвержден
,цирроз.просто живу
1апреля2023 анти HbsAg.подтвержден
- Yugo69
- Модератор
- Сообщения: 45658
- Зарегистрирован: 08 авг 2011 14:05
- Пол: ♀
- Гепатит: В
- Фиброз: F0
- Генотип: не определял(а)
- Город: Тирасполь
- Благодарил (а): 925 раз
- Поблагодарили: 5845 раз
Re: B с дельта вирусом
рысь
Наташ , ну судя по всему ДИП - диффузные изменения печени, других вариантов не нашла и дальше в циферах, а вот с желчным , как не пыталась.. чет мне это слово ничего не напоминает. кроме как приграничн, но как его там применить
Наташ , ну судя по всему ДИП - диффузные изменения печени, других вариантов не нашла и дальше в циферах, а вот с желчным , как не пыталась.. чет мне это слово ничего не напоминает. кроме как приграничн, но как его там применить
- рысь
- Лягушка-путешественница
- Сообщения: 6315
- Зарегистрирован: 24 июл 2011 08:03
- Пол: ♀
- Гепатит: В+D
- Фиброз: F4
- Генотип: не определял(а)
- Город: дальний восток
- Благодарил (а): 1234 раза
- Поблагодарили: 444 раза
Re: B с дельта вирусом
Yugo69
спасибо .самой интересно.что произошло за год при нормальных анализах,без лечения
спасибо .самой интересно.что произошло за год при нормальных анализах,без лечения
геп В+Д,цирроз класса А,-бараклюд с1июня2012 по 7ноября2014.терапия прервана.
1апреля2023 анти HbsAg.подтвержден
,цирроз.просто живу
1апреля2023 анти HbsAg.подтвержден
-
Ромашкин
Re: B с дельта вирусом
ДНПВ--диаметр нижней полой вены..Жёлчный--"бумеранг"..То есть есть перегиб и по форме похож на него.Раньше был овоид, т.е. в форме яйца..Перегиб в с/3--средней трети..Yugo69 писал(а):рысь
Наташ , ну судя по всему ДИП - диффузные изменения печени, других вариантов не нашла и дальше в циферах, а вот с желчным , как не пыталась.. чет мне это слово ничего не напоминает. кроме как приграничн, но как его там применить
- рысь
- Лягушка-путешественница
- Сообщения: 6315
- Зарегистрирован: 24 июл 2011 08:03
- Пол: ♀
- Гепатит: В+D
- Фиброз: F4
- Генотип: не определял(а)
- Город: дальний восток
- Благодарил (а): 1234 раза
- Поблагодарили: 444 раза
Re: B с дельта вирусом
Ромашкин
Спасибо.
Спасибо.
геп В+Д,цирроз класса А,-бараклюд с1июня2012 по 7ноября2014.терапия прервана.
1апреля2023 анти HbsAg.подтвержден
,цирроз.просто живу
1апреля2023 анти HbsAg.подтвержден
- Yugo69
- Модератор
- Сообщения: 45658
- Зарегистрирован: 08 авг 2011 14:05
- Пол: ♀
- Гепатит: В
- Фиброз: F0
- Генотип: не определял(а)
- Город: Тирасполь
- Благодарил (а): 925 раз
- Поблагодарили: 5845 раз
- Геннадий82
- Бывалый
- Сообщения: 1929
- Зарегистрирован: 30 авг 2016 18:31
- Пол: ♂
- Гепатит: В
- Фиброз: F0
- Генотип: не определял(а)
- Город: Питер
- Благодарил (а): 348 раз
- Поблагодарили: 253 раза
Re: B с дельта вирусом
Ромашкин, а чем отличается овоид, т.е. яйцевидный от "бумеранга"? Или это одна и та же фигура, описанная разными узистами разными словами?
Гепатит В HBsAg+ HBeAg- AntiHBeAg+; Гепатит D- C-
04.2015г. ПЦР кач. полож, количество <30МЕ АЛТ АСТ норма, интегративный гепатит
10.2016г. ПЦР количество >10*7МЕ, АЛТ 400, АСТ 150 - обострение
19.11.2016 Старт ПВТ Тенофовир; 5.01.2017 АЛТ 260; 15.02.2017 ПЦР 16000МЕ/мл, 15.05.2017 - 560МЕ/мл, АЛТ 31; 18.10.17 - не обнаружен, 5.01.18 - АЛТ 16; 1.06.2018 qHBsAg 1238ME, 12.04.2021 qHBsAg 750ME
Репликативный гепатит В
04.2015г. ПЦР кач. полож, количество <30МЕ АЛТ АСТ норма, интегративный гепатит
10.2016г. ПЦР количество >10*7МЕ, АЛТ 400, АСТ 150 - обострение
19.11.2016 Старт ПВТ Тенофовир; 5.01.2017 АЛТ 260; 15.02.2017 ПЦР 16000МЕ/мл, 15.05.2017 - 560МЕ/мл, АЛТ 31; 18.10.17 - не обнаружен, 5.01.18 - АЛТ 16; 1.06.2018 qHBsAg 1238ME, 12.04.2021 qHBsAg 750ME
Репликативный гепатит В
- рысь
- Лягушка-путешественница
- Сообщения: 6315
- Зарегистрирован: 24 июл 2011 08:03
- Пол: ♀
- Гепатит: В+D
- Фиброз: F4
- Генотип: не определял(а)
- Город: дальний восток
- Благодарил (а): 1234 раза
- Поблагодарили: 444 раза
Re: B с дельта вирусом
Узи делала одна и та же врач на одном аппарате.
Впринципе все осталось практически без изменения.я так думаю
Впринципе все осталось практически без изменения.я так думаю
геп В+Д,цирроз класса А,-бараклюд с1июня2012 по 7ноября2014.терапия прервана.
1апреля2023 анти HbsAg.подтвержден
,цирроз.просто живу
1апреля2023 анти HbsAg.подтвержден
-
Ромашкин
Re: B с дельта вирусом
Ну да,был такойYugo69 писал(а):Ромашкин
у тебя тоже такой почерк?
Геннадий82 рысь
Такая деформация желчного может давать внепеченочную симптоматику болей в правом подреберье,тошноты и т.д.
- рысь
- Лягушка-путешественница
- Сообщения: 6315
- Зарегистрирован: 24 июл 2011 08:03
- Пол: ♀
- Гепатит: В+D
- Фиброз: F4
- Генотип: не определял(а)
- Город: дальний восток
- Благодарил (а): 1234 раза
- Поблагодарили: 444 раза
Re: B с дельта вирусом
привет всем.
подскажите,какой анализ нужно сдать,что бы выявить хеликобактер
подскажите,какой анализ нужно сдать,что бы выявить хеликобактер
геп В+Д,цирроз класса А,-бараклюд с1июня2012 по 7ноября2014.терапия прервана.
1апреля2023 анти HbsAg.подтвержден
,цирроз.просто живу
1апреля2023 анти HbsAg.подтвержден
- рысь
- Лягушка-путешественница
- Сообщения: 6315
- Зарегистрирован: 24 июл 2011 08:03
- Пол: ♀
- Гепатит: В+D
- Фиброз: F4
- Генотип: не определял(а)
- Город: дальний восток
- Благодарил (а): 1234 раза
- Поблагодарили: 444 раза
Re: B с дельта вирусом
ФГДС исключено
для меня это очень тяжелая процедура
геп В+Д,цирроз класса А,-бараклюд с1июня2012 по 7ноября2014.терапия прервана.
1апреля2023 анти HbsAg.подтвержден
,цирроз.просто живу
1апреля2023 анти HbsAg.подтвержден
- Vell
- Ice Hockey Girl
- Сообщения: 2439
- Зарегистрирован: 30 дек 2012 13:06
- Пол: ♀
- Гепатит: Не обнаружен
- Фиброз: F0
- Генотип: не определял(а)
- Город: Москва
- Благодарил (а): 222 раза
- Поблагодарили: 167 раз
Re: B с дельта вирусом
Анализ крови на антитела G, M, A.Номера тестов инвитро 176, 177, 133. Наличие /отсутствие покажет. Но принимать решение о лечение надо исходя из количества и наличия симптомов.
Диагноз - март 2011 с тех пор
HbsAg +, HbeAg -, AntiHbe +, ПЦР (кач/колич) -/-, биохимия норма
Сдаюсь апрель/октябрь ежегодно.
История V
Скованные одной цепью,
Связанные одной целью ©
HbsAg +, HbeAg -, AntiHbe +, ПЦР (кач/колич) -/-, биохимия норма
Сдаюсь апрель/октябрь ежегодно.
История V
Скованные одной цепью,
Связанные одной целью ©
- рысь
- Лягушка-путешественница
- Сообщения: 6315
- Зарегистрирован: 24 июл 2011 08:03
- Пол: ♀
- Гепатит: В+D
- Фиброз: F4
- Генотип: не определял(а)
- Город: дальний восток
- Благодарил (а): 1234 раза
- Поблагодарили: 444 раза
Re: B с дельта вирусом
Анализ крови,сданный в поликлинике,показал наличие хелика,высокий титр 4...,
Хотела сдать платно в лабе,только не могу понять какой.врач предупредил о тяжелой тере,но выписать пробиотики для предупреждения дизбактериоза,отказалась,сказала будем смотреть и принимать мерыпо мере поступления проблем.
Вот думаю как мне быть
Хотела сдать платно в лабе,только не могу понять какой.врач предупредил о тяжелой тере,но выписать пробиотики для предупреждения дизбактериоза,отказалась,сказала будем смотреть и принимать мерыпо мере поступления проблем.
Вот думаю как мне быть
геп В+Д,цирроз класса А,-бараклюд с1июня2012 по 7ноября2014.терапия прервана.
1апреля2023 анти HbsAg.подтвержден
,цирроз.просто живу
1апреля2023 анти HbsAg.подтвержден
